PCR 聚合酶 2020/3/23
NEB 針對基于 PCR 的應用提供多種 DNA 聚合酶。在產品的說明書或產品的網頁介紹上可以找到針對不同產品的特定優化建議。下面的一般指導原則將...
實驗結果這么難重復,怎樣才能提高重復性呢? 2020/3/18
為什么實驗結果很難重復呢?主要有5個方面的原因:1、參考文獻;2、生產商;3、經銷商;4、搜索引擎;5、同行審閱。下面讓我們具體來看下這5個方面以...
內參蛋白,你選對了嗎? 2020/3/18
內參蛋白是用來確保蛋白上樣量一致性,量化目的蛋白的表達情況,是免疫印跡(WB)和免疫熒光(IF)等實驗結果定量分析或定性比較的重要標尺。 ...
蛋白印跡實驗封閉蛋白選哪種,牛奶或 BSA? 2020/3/18
關于蛋白印跡 WB 實驗,我們常遇到一個問題,我該用什么來封閉,牛奶或 BSA?...
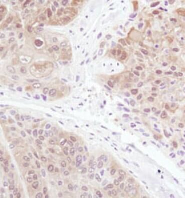
IHC 實驗操作步驟 2020/3/18
參考抗體說明書選用合適的抗體稀釋液和抗原修復處理方法。IHC方法:抗原修復緩沖液/抗體稀釋液...
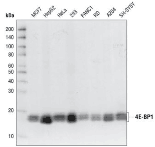
WB 實驗操作步驟 2020/3/18
從樣品制備到檢測,您進行蛋白質印跡法時所需要的試劑現均包含在一個便利的試劑盒中:#12957 Western Blotting Applicati...
IF 實驗操作步驟 2020/3/18
在開始實驗前請查閱所用抗體的說明書中第一頁應用(APPLICATIONS)部分,確認這支抗體已經驗證過可用于IF-IC、IF-F或IF-P實驗。以...
酶切反應條件的優化 2020/3/17
當建立內切酶酶切反應體系時有幾個關鍵因素需要考慮。比如,如何在反應體系中加入適量的 DNA、內切酶和緩沖液,就可以獲得最佳酶切效果。根據定義,在 ...
抗體查找方法 2016/5/23
...
轉化反應問題解決指南 2016/5/23
...









